📑 목차
안녕하세요
오늘은 태아초음파 아기초음파 용어에 대해 포스팅하려고 하는데요, 임신하게 되면 주기적으로 병원에서 초음파를 보는데 여러 용어들이 가득한 초음파를 볼 수 있습니다. 계속 초음파를 보다보면 용어가 궁금해지더라고요. 첫째 때 공부(?)를 하긴 했는데 역시나 기억이 사라져서 ㅎㅎ 'EDD'정도만 기억에 남아있는 제 모습을 발견했습니다. ㅎㅎ

초음파 용어가 엄청 많은데요, 가장 자주 볼 수 있는 용어들 위주로 정리하겠습니다.
태아초음파 기본 용어 정리
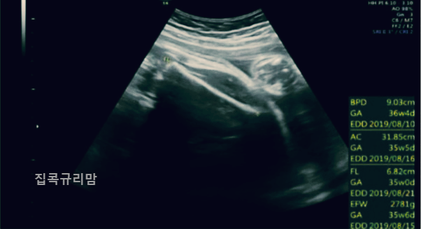
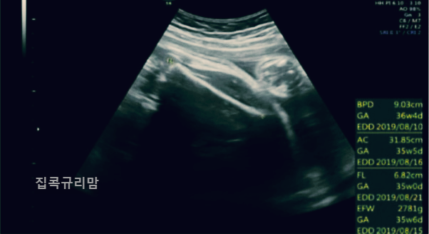
GS(Gestational Sac)
태낭(아기집) 크기로 태아가 보이지 않는 임신 초기에 확인합니다.
HR(Heart Rate)
태아 심박 수로 1분에 120~150 사이가 정상이다.

CRL (Crown-Rump Length)
아직 아이가 작은 임신 초기에 태아를 측정하는 방법으로 머리끝에서 엉덩이끝까지 최대직선 길이로 측정하며, cm로 표기합니다.
GA(Gestational Age)
임신 주수로 W는 주수를, D는 날짜를 뜻합니다.
예시: 6w3d (6주 3일)
EDD (Expected Date of Delivery)
GA를 기준으로 산출한 출산 예정일로 GA와 EDD는 태아 크기에 따라 매번 달라질 수 있는데, 보통 임신 12주 미만에 정해진 임신 주수와 분만 예정일을 기준으로 태아 성장을 평가합니다.

AC(Abdominal Circumference)
복부 둘레 수치로 태아의 발육 상태를 확인할 수 있습니다.
BPD(Biparietal Diameter)
아두대횡경, 위에서 본 태아 머리 단면의 가장 긴 길이를 말합니다.
HC(Head Circumference)
태아의 머리 둘레 수치로 타원을 그려서 측정하여 성장 발달 정도를 확인할 수 있다.
FL(Femur Length)
태아의 대퇴골(허벅지 뼈) 길이로 성장 발달 정도를 판단합니다.
EBW(Estimated Body Weight): 태아의 현재 체중을 확인합니다.
AFI(Amniotic Fluid Index): 양수 지수로 5~24cm면 정상 범위이며 많으면 조산의 위험이 있습니다.
TTD(Transeverse Trunk Diameter) : 태아 복부 횡단 길이로 태아의 옆구리 폭.
OFD(Occipito-Frontal diameter) : 후두전두경으로 태아의 머리 뒤통수부터 이마까지의 지름.
SL(Spine Length) : 척추 길이.
이 외에도 목둘레 투명대(NT) 등등 많은 관련 용어가 있는데요 기본적인 내용만 공유 드렸습니다 ㅎㅎ
아가 품고 계신 모든 분들, 화이팅입니다 ㅎㅎ
'육아이야기 > 임신이야기' 카테고리의 다른 글
| 임신 중기(16~27주) 특징과 태아 발달 아기 발달 모습 (0) | 2023.08.02 |
|---|---|
| 임신 초기(0~15주) 특징과 태아 발달 아기 발달 모습 (0) | 2023.08.02 |
| 서울시 임산부 교통비 지원금 사용방법, 사용기한, 신청방법 (0) | 2023.07.04 |
| 둘째맘의 출산용품 육아용품 준비, 출산 준비물, 진행상황(feat. 이제 겨우 21주) (1) | 2023.06.28 |
| 오늘로 임신 16주, 경산맘의 기록 (2) | 2023.05.22 |